В Липецкой области успешно проведена операция для подростка с ДЦП

В Липецкой области успешно проведена операция для подростка с ДЦП
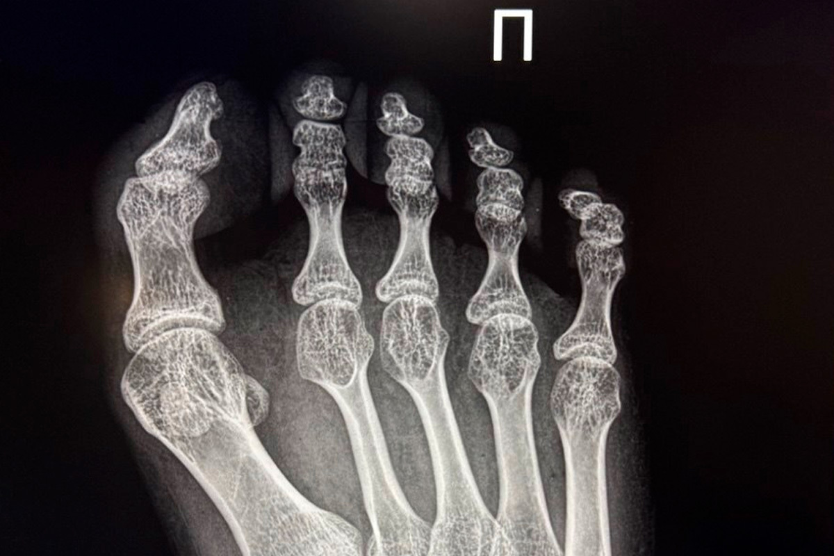
фото: Минздрав Липецкой области

В Елецкой детской больнице Липецкой области была выполнена сложная операция для 17-летней девушки, которя страдает от детского церебрального паралича. Пациентка обратилась с жалобами на приобретенную деформацию первого пальца правой стопы 3 степени, которая причиняла ей значительные боли и затрудняла передвижение.

Заведующий травматологическим отделением, Махач Алиев, провел реконструктивное вмешательство, используя современные методики Шеде-Брандеса и Арина.

Операция прошла успешно, и сейчас пациентка находится на этапе реабилитации, которая также проходит без осложнений.

Что еще почитать

В регионах

Новости региона

Все новости

Новости

Самое читаемое

...
Сегодня
...
...
...
...
Ощущается как ...

Автовзгляд

Womanhit

Охотники.ру